Bệnh thủy đậu đang có xu hướng gia tăng và diễn biến phức tạp, đặc biệt ở người lớn, có thể gây ra các biến chứng nghiêm trọng như suy đa tạng và đe dọa tính mạng Tuổi Trẻ. Các chuyên gia y tế khuyến cáo người dân cần chủ động phòng ngừa và cảnh giác với các dấu hiệu bất thường của bệnh Tuổi Trẻ.
Cẩn trọng thủy đậu gây suy đa tạng, nguy hiểm tính mạng ở người lớn

Tóm tắt bởi AI
1 nguồnĐiểm chính
- Thủy đậu ở người lớn diễn biến phức tạp, có thể gây suy đa tạng, nguy hiểm tính mạng [1].
- Số ca mắc thủy đậu đang tăng, đặc biệt ở người chưa miễn dịch hoặc chưa tiêm [1].
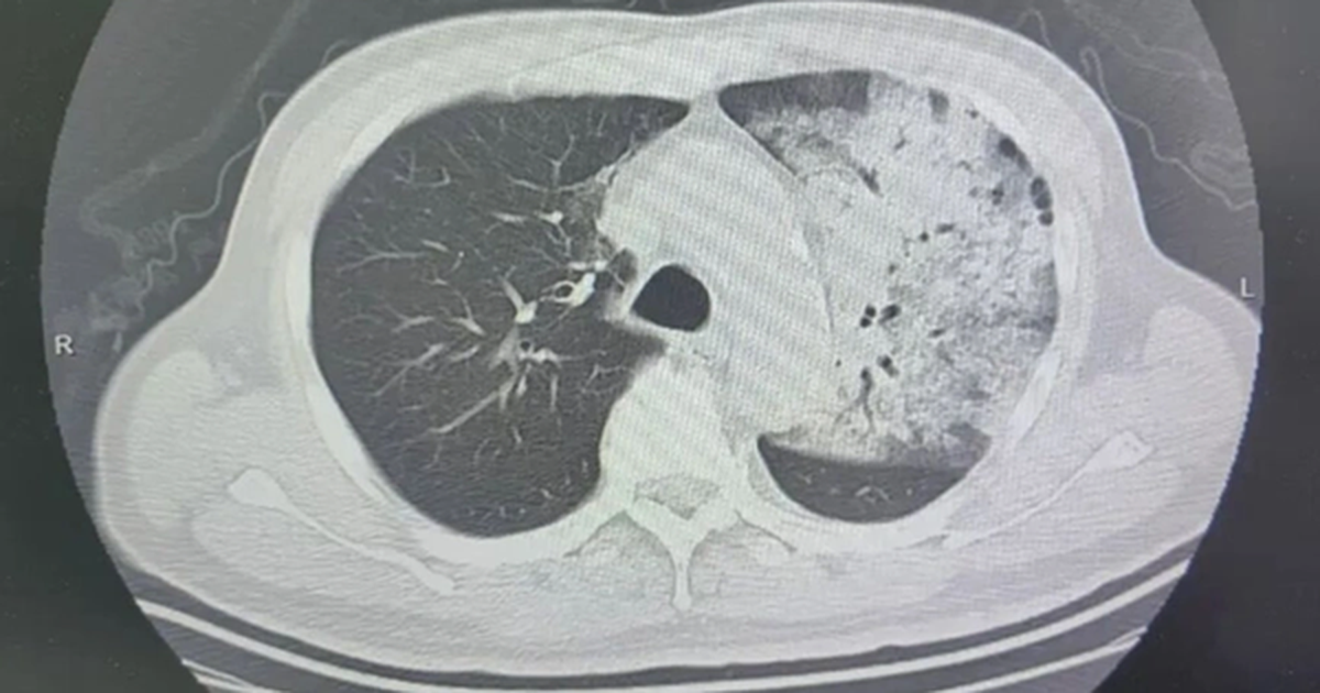
- Biến chứng thủy đậu ở người lớn gồm viêm phổi, viêm não [1].
- Cần chủ động phòng ngừa và cảnh giác với dấu hiệu bất thường của bệnh [1].
Tình hình dịch bệnh
Ảnh hưởng đến sức khỏe
Phản ứng và giải pháp
Các bác sĩ khuyến cáo người dân nên chủ động phòng ngừa bằng cách tiêm vắc xin phòng thủy đậu, đặc biệt là những người chưa từng mắc bệnh hoặc chưa tiêm phòng Tuổi Trẻ. Khi có các dấu hiệu nghi ngờ, cần đến ngay cơ sở y tế để được chẩn đoán và điều trị kịp thời, tránh các biến chứng nguy hiểm Tuổi Trẻ.
Nghe tóm tắt
Tính năng nghe audio — sắp ra mắt







