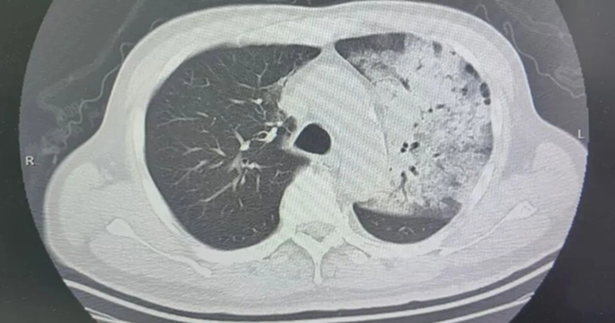
Một người đàn ông nhập viện trong tình trạng nguy kịch với sốt cao 40 độ C và tổn thương phổi nghiêm trọng, dẫn đến suy đa tạng chỉ trong vài ngày Soha+1. Vụ việc này là lời cảnh báo về những thói quen sinh hoạt có thể gây ra các vấn đề sức khỏe nghiêm trọng.
Người đàn ông sốt 40 độ C, phổi gần như 'trắng xóa", chỉ vài ngày đã suy đa tạng: Thủ phạm liên quan đến thói quen nhiều gia đình vẫn mắc

Người đàn ông sốt 40 độ C, phổi gần như 'trắng xóa", chỉ vài ngày đã suy đa tạng: Thủ phạm liên quan đến thói quen nhiều gia đình vẫn mắc MỸ DIỆU | 10/03/2026 07:00
TIN MỚI
Điểm chính
- Bệnh nhân sốt 40 độ C, phổi 'trắng xóa' và suy đa tạng chỉ trong vài ngày [1, 2].
- Tình trạng bệnh nhân là lời cảnh báo về các thói quen sinh hoạt [1, 2].
- Nguyên nhân và chẩn đoán ban đầu chưa được công bố cụ thể.
Tình trạng bệnh nhân nguy kịch
Chẩn đoán ban đầu và nguyên nhân
Hiện tại, thông tin chi tiết về chẩn đoán ban đầu và nguyên nhân gây ra tình trạng bệnh của bệnh nhân chưa được công bố cụ thể trong các nguồn tin. Tuy nhiên, các chuyên gia y tế nhấn mạnh tầm quan trọng của việc chẩn đoán và điều trị kịp thời các bệnh lý về đường hô hấp để tránh các biến chứng nguy hiểm Soha+1.
Khuyến cáo từ chuyên gia
Các chuyên gia y tế khuyến cáo người dân nên chủ động phòng ngừa các bệnh về đường hô hấp bằng cách duy trì lối sống lành mạnh, tăng cường sức đề kháng và tiêm phòng đầy đủ Soha+1. Việc theo dõi sức khỏe thường xuyên và đi khám ngay khi có các triệu chứng bất thường như sốt cao, khó thở, ho kéo dài là rất quan trọng Soha+1.







