Một phụ nữ ở Hà Nội phát hiện mắc đồng thời hai loại ung thư hiếm gặp sau khi thấy các triệu chứng vàng da và ngứa ngáy CafeF. Bệnh viện Bạch Mai cho biết trường hợp này đặt ra nhiều thách thức trong chẩn đoán và điều trị CafeF. Hiện tại, bệnh nhân đang được theo dõi và điều trị tích cực.
Thấy vàng da kèm ngứa, người phụ nữ đi khám phát hiện mắc 2 loại ung thư: Bệnh viện Bạch Mai nói quá hiếm gặp, thách thức trong chẩn đoán

Điểm chính
- Phụ nữ Hà Nội mắc đồng thời hai loại ung thư hiếm gặp, vàng da và ngứa ngáy
- Bệnh viện Bạch Mai cho biết trường hợp này rất hiếm, nhiều thách thức
- Bệnh nhân đang được theo dõi và điều trị tích cực tại bệnh viện
Chẩn đoán và tình trạng bệnh nhân
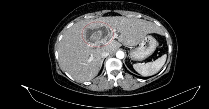
Bệnh nhân nữ, đến từ Hà Nội, đã đến khám tại Bệnh viện Bạch Mai sau khi xuất hiện các triệu chứng bất thường CafeF. Kết quả chẩn đoán cho thấy, bệnh nhân mắc hai loại ung thư khác nhau, một tình trạng được bệnh viện đánh giá là rất hiếm gặp CafeF. Hiện tại, thông tin chi tiết về loại ung thư và giai đoạn bệnh chưa được công bố cụ thể.
Ảnh hưởng đến sức khỏe và cuộc sống
Việc mắc đồng thời hai loại ung thư chắc chắn gây ảnh hưởng nghiêm trọng đến sức khỏe của bệnh nhân CafeF. Các triệu chứng như vàng da và ngứa ngáy không chỉ gây khó chịu về thể chất mà còn ảnh hưởng đến tâm lý và chất lượng cuộc sống của người bệnh CafeF. Gia đình và người thân của bệnh nhân cũng chịu nhiều áp lực về tinh thần và tài chính trong quá trình điều trị.
Phản ứng của bệnh viện và cộng đồng
Hướng giải quyết và hỗ trợ
Bệnh viện Bạch Mai đang tập trung vào việc điều trị và theo dõi sát sao tình trạng sức khỏe của bệnh nhân CafeF. Các bác sĩ cũng đang tìm kiếm các phương pháp điều trị tiên tiến nhất để nâng cao cơ hội sống cho bệnh nhân CafeF. Trong trường hợp này, sự hỗ trợ từ cộng đồng và các tổ chức y tế là rất quan trọng để giúp bệnh nhân vượt qua giai đoạn khó khăn này.





