Một người bệnh đã được chẩn đoán mắc đồng thời hai loại ung thư sau khi xuất hiện triệu chứng vàng da. Vàng da, biểu hiện da và mắt chuyển màu vàng, là dấu hiệu cảnh báo quan trọng, dẫn đến việc phát hiện các bệnh lý nghiêm trọng Tiền Phong+1.
Từ dấu hiệu vàng da, phát hiện đồng thời hai ung thư nguy hiểm

Từ dấu hiệu vàng da, phát hiện đồng thời hai ung thư nguy hiểm Hà Minh | 17/03/2026 17:07
Điểm chính
- Vàng da là dấu hiệu cảnh báo nhiều bệnh lý nghiêm trọng, bao gồm ung thư.
- Bệnh nhân được phát hiện mắc đồng thời hai loại ung thư sau khi có dấu hiệu vàng da.
- Vàng da là triệu chứng dễ nhận thấy, da và mắt chuyển màu vàng.
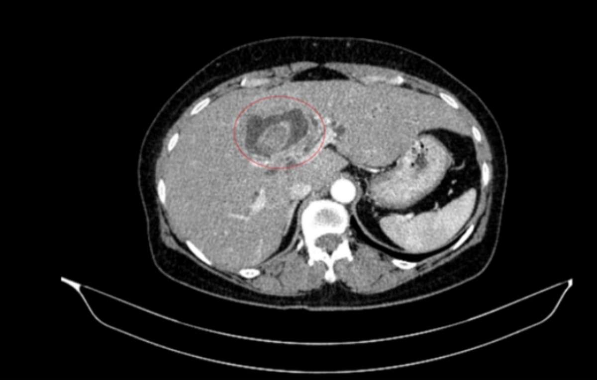
Phát hiện hai loại ung thư
Bệnh nhân được chẩn đoán mắc hai bệnh ung thư khác nhau sau khi thăm khám vì vàng da Tiền Phong+1. Thông tin chi tiết về loại ung thư và giai đoạn bệnh chưa được công bố.
Triệu chứng ban đầu: Vàng da
Vàng da là triệu chứng ban đầu, dễ nhận thấy nhất, khi da và lòng trắng mắt chuyển sang màu vàng Tiền Phong+1. Nguyên nhân gây vàng da có thể do nhiều bệnh lý khác nhau, bao gồm các bệnh về gan, mật và ung thư.
Phương pháp điều trị
Hiện chưa có thông tin cụ thể về phương pháp điều trị trong trường hợp này. Việc điều trị ung thư thường phức tạp, phụ thuộc vào loại ung thư, giai đoạn bệnh và tình trạng sức khỏe tổng thể của bệnh nhân Tiền Phong+1. Các phương pháp có thể bao gồm phẫu thuật, hóa trị, xạ trị hoặc các liệu pháp điều trị khác.
Khuyến cáo từ chuyên gia
Các chuyên gia y tế khuyến cáo người dân nên đi khám ngay khi có dấu hiệu vàng da, đặc biệt nếu kèm theo các triệu chứng khác như mệt mỏi, chán ăn, sụt cân hoặc đau bụng Tiền Phong+1. Việc phát hiện và điều trị sớm có thể cải thiện đáng kể tiên lượng bệnh.





